I nostri piedi sono una parte importantissima del nostro corpo, infatti è principalmente grazie a loro se possiamo spostarci autonomamente. Purtroppo però non sempre prestiamo ai nostri piedi le attenzioni che meritano, come tutte le altri parti del corpo possono essere soggetti a disfunzioni o a patologie. Una di queste è senza dubbio l’alluce valgo, il quale non rappresenta solo un’imperfezione estetica, ma è da considerarsi una vera e propria patologia. In certi casi, l’alluce valgo può arrivare a causare forti dolori e persino gravi difficoltà nella deambulazione.

Sebbene non si possa considerare a tutti gli effetti una patologia ereditaria, l’alluce valgo è certamente influenzato sia da alcuni fattori genetici che da tutta una serie di fattori esterni, come ad esempio il tipo di calzature utilizzate e/o eventuali sforzi particolari protratti nel tempo.
Esistono delle soluzioni efficaci a questo problema?
Fortunatamente sì, ma prima di tutto bisogna stabilire a che stadio si trova la patologia.
Non esiste una soluzione universale, ma occorre valutare caso per caso perché, nelle situazioni più critiche, l’unica soluzione che rimane, è quella di effettuare un’operazione chirurgica. Solo così, infatti, sarà possibile ristabilire la sua posizione e la sua piena funzionalità, risolvendo anche il problema sotto un punto di vista estetico.
La situazione del tuo piede ti preoccupa? Stai cercando un chirurgo ortopedico a Roma e dintorni per valutare i pro e i contro di un’eventuale operazione all’alluce valgo?
In questo caso prosegui la lettura di questo articolo, vedremo insieme in cosa consiste davvero l’alluce valgo, quali sono le sue cause e come curarlo.
Alluce valgo: i sintomi, le cause e le soluzioni più efficaci.
Cos’è esattamente l’alluce valgo?
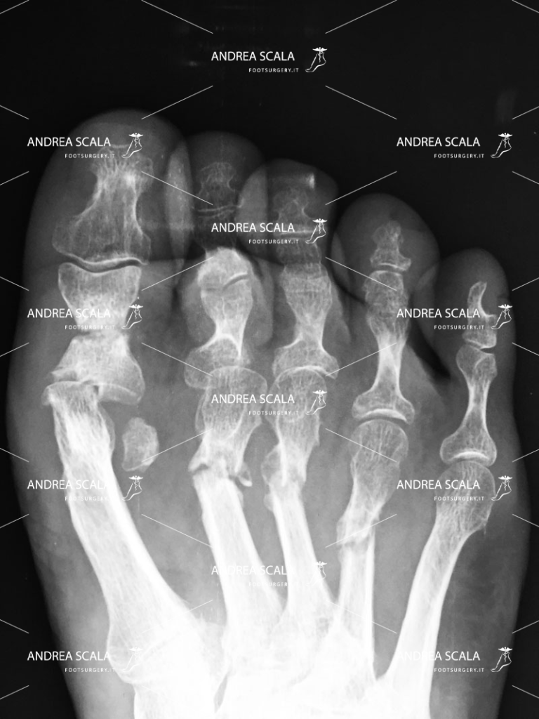
Con il termine “alluce valgo” ci si riferisce a una patologia che non colpisce propriamente solo l’alluce, ma tutta la parte anteriore del piede. Molto semplicemente, si tratta di una deviazione dell’alluce verso l’interno, ovvero verso le altre dita, che causa un particolare rigonfiamento laterale in corrispondenza della testa del primo metatarso.
Il dolore è uno dei sintomi più evidenti, il quale solitamente segue la deformazione ossea che è già in corso. È importantissimo non trascurare questi sintomi, se hai notato una progressiva deformazione e questa non provoca dolore, purtroppo, nella stragrande maggioranza dei casi, è solo questione di tempo.
Se preso per tempo, non è necessario ricorrere all’operazione dell’alluce valgo. Non aspettare, rivolgiti subito a uno specialista.
I tacchi alti provocano l’alluce valgo? Ecco tutte le cause.
La risposta alla domanda qui sopra è “Nì”, nel senso che non tutte le donne che portano i tacchi alti o altri tipi di calzature sviluppano necessariamente l’alluce valgo, ma è sicuro che l’utilizzo di calzature scomode accentua o favorisce considerevolmente l’insorgere di questa patologia.
Esiste però anche un fattore ereditario: alcune persone soffrono di lassità legamentosa congenita, una condizione patologica per cui la tensione dei legamenti presenti in una data articolazione è minore della norma. Questo causa molta instabilità nell’articolazione e risulta evidente che l’uso di calzature improprie non farebbe altro che accelerare il processo di deformazione di tutta la parte anteriore del piede.
Tutti i rimedi possibili all’alluce valgo.
La medicina è in grado di offrire vari trattamenti per la cura dell’alluce valgo, ma la scelta di quello più efficace può essere effettuata solo dopo un’accurata valutazione della situazione attuale. Senza contare il fatto che, affinché una cura funzioni davvero, è necessario che anche il paziente giochi un ruolo attivo.
Detto ciò, l’alluce valgo può essere curato in questi modi:
- Prevenzione da parte del paziente: l’alluce valgo è una patologia che colpisce prevalentemente il sesso femminile. Come tutte le cose, anche i tacchi o altre calzature particolari devono essere utilizzate con moderazione. Un uso costante e prolungato privo di pause che consentano al piede di riposare, possono solo che favorire l’insorgere dell’alluce valgo o un suo successivo peggioramento.
- Effettuare dei cicli di fisioterapia: in questo modo è possibile ritrovare un minimo di sollievo che però non durerà a lungo. Al contrario, la fisioterapia è molto utile dopo l’eventuale intervento all’alluce valgo, infatti aiuta ad eliminare il gonfiore, l’edema e a riprendere l’attività articolare nel rispetto della postura.
- Ortesi e plantari: possono apportare un minimo di beneficio solo all’inizio del manifestarsi della patologia, ma non possono certo considerarsi una vera soluzione a questo problema. Anche in questo caso, sono però molto utili dopo l’eventuale intervento all’alluce valgo, contribuendo a consolidare la correzione plantare conseguita.
- L’unico vero rimedio che consente di curare in modo definitivo questa malattia è sottoporsi all’operazione dell’alluce valgo. Non esistono altre tecniche in grado di ristabilire la forma e la funzionalità corretta del piede. Ovviamente è scontato dire che tale soluzione richiede la massima professionalità da parte del chirurgo ortopedico, per cui è fondamentale rivolgersi solo a medici altamente qualificati e competenti.
I trattamenti a base di farmaci analgesici non possono essere considerati una cura vera e propria, in quanto attenuano il dolore solo momentaneamente. L’alluce valgo è una malattia che non regredisce mai, ma al contrario, tende invece a peggiorare. Questo significherebbe assumere quotidianamente parecchi analgesici, i quali però possono causare l’insorgere di parecchie reazioni avverse.
L’operazione dell’alluce eseguita con tecnica percutanea.
Questa tencnica prevede l’uso di un frullino che viene messo sotto la pelle della paziente (percutanea). Il chirurgo quarda la Rxgrafia, ma non osserva con gli occhi ciò che sta facendo sotto la pelle (percutanea). Il frullino ad alta velocità taglia l’osso e alcune volte anche tendini, vasi e nervi. Al termine dell’intervento l’osso tagliato viene lasciato libero di guarire senza alcun sostegno e senza alcuna guida. Osserviamo in ambulatorio casi molto gravi in cui l’osso è guarito storto o non si è più riattaccato.


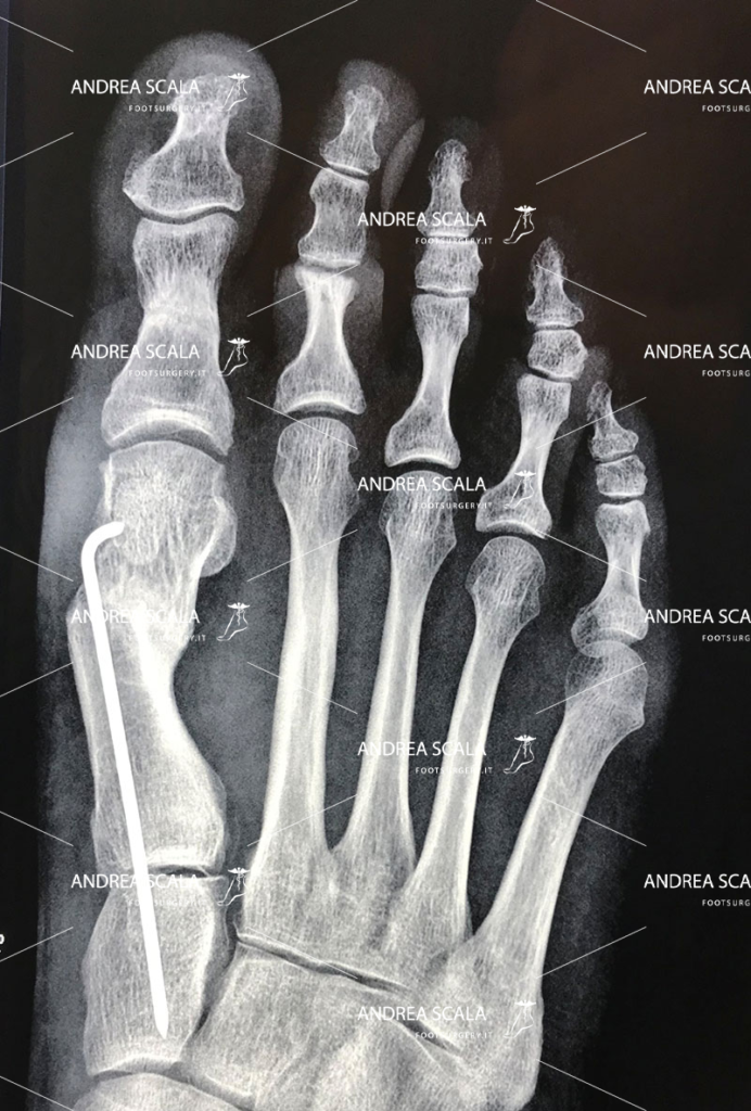
L’operazione dell’alluce eseguita con tecnica mininvasiva (con una minima incisione).
Il dott. Andrea Scala ha messo a punto una tecnica, pubblicata in U.S.A. nel 2013 che supera i problemi che la tecnica percutanea comporta.
Grazie a questa tecnica è possibile sezionare l’osso deformato per riposizionarlo e riallinearlo con le altre dita del piede, il tutto effettuando solo un’incisione di pochi millimetri sulla cute. La minima incisione taglia l’osso con precisione ed evita di tagliare anche tendini, vasi e nervi. Al termine dell’intervento un piccolo chiodo di 1 millimetro aiuta l’osso tagliato a guarire nella posizione corretta e assicura che l’alluce operato non tornerà mai più.




La complessità dell’operazione e il successivo decorso dipendono molto anche dall’età del paziente: donne più giovani necessitano di interventi meno invasivi è avranno un breve decorso post-operatorio, al contrario, pazienti più anziane, necessitano di interventi più complessi e il decorso post – operatorio avrà una certa durata.
Un’altra cosa estremamente importante da sapere è che, a differenza di quello che si potrebbe pensare, dopo l’operazione all’alluce valgo è indispensabile continuare a muovere tutta l’area.
Impedire al dito operato di muoversi significherebbe non solo compromettere l’esito dell’intervento, ma addirittura arrecare danni importanti a tutta l’articolazione.
Proprio per questo il paziente dovrà deambulare con delle apposite scarpe, una volta terminato l’intervento. Generalmente il decorso post – operatorio prevede un ciclo di medicazioni ogni 15 giorni. Dopo solo un mese sarà possibile tornare alle proprie attività, e nel caso degli sportivi, dopo 3 mesi sarà già possibile riprendere l’attività agonistica.
Approfondite la conoscenza della tecnica del dott. Andrea Scala per il trattamento dell’alluce valgo recidivo consultando i due articoli su questo tema pubblicati dalla rivista americana Foot & Ankle Specialist!
Contatta Il Dott. Scala
Il Dott. Andrea Scala ha conseguito il suo diploma di Laurea in Medicina e Chirurgia presso la Università Cattolica del S. Cuore – Policlinico “A. Gemelli” di Roma con la discussione della tesi sperimentale, elaborata presso l’Istituto di Clinica Ortopedica diretta dal Prof. G.F. Fineschi, dal titolo: “Studio delle modificazioni cellulari indotte dai metalli di comune impiego in Chirurgia Ortopedica”, riportando il massimo dei voti. E’ specialista in Traumatologia e Ortopedia, specialista in Medicina dello Sport. Dal 1984 al 1988 è stato Assistente del Prof. Pisani nell’Ospedale di Alba (CN), il primo in Italia specializzato nella cura delle patologie della Caviglia e del Piede. Il Dott. Andrea Scala nel 1998 ha impiantato per primo la Protesi di Caviglia a Roma. Grazie ai numerosi anni di esperienza nel settore, alla formazione continua e alla pratica chirurgica effettuata in prestigiosi Centri Ospedalieri e Universitari italiani ed esteri, il Dott. Scala garantisce ai propri pazienti risultati eccellenti, ottenuti attraverso tecniche chirurgiche innovative, accurati studi sul singolo caso clinico e attuazione di terapie di ultima generazione per agevolare e accelerare la rigenerazione dei tessuti. I trattamenti per cui è specializzato sono:
Protesi caviglia
Piede paralitico
Malattia di Haglund
Alluce valgo
Legamenti della caviglia
Alluce rigido
Piede piatto
Neuroma di Morton
Il Dott. Scala è l’unico chirurgo ortopedico specialista italiano iscritto alla Società Francese di Chirurgia della caviglia e del piede. Svolge la propria attività professionale presso la Casa di Cura ARS MEDICA in Via Cesare Ferrero di Cambiano, 2900191 ROMA. Prenota una visita specialistica al numero +39 335 766 2164 o invia una mail all’indirizzo info@footsurgery.it.
VUOI SAPERNE DI PIÙ?