La caviglia è la parte dell’arto inferiore comprendente l’articolazione tra gamba e piede: essa permette la flessione e l’estensione del piede stesso. Un’articolazione di estrema importanza, sulla quale non si pone spesso tutte l’attenzione che meriterebbe. Basti pensare alle sollecitazioni alle quali le caviglie sono sottoposte tutto il giorno, non solo in attività impegnative ma anche semplicemente per il solo fatto di stare in piedi.
Naturalmente gli sportivi sono quelli che maggiormente caricano le proprie caviglie naturalmente sono gli sportivi, in particolar modo i runners, doppiamente se si tratta di velocisti. Questi spesso sottovalutano l’importanza di “buone caviglie”, focalizzandosi su piedi e glutei. Sarebbe opportuno invece, per garantirsi una postura ottimale ma anche performance di un certo livello, che vi prestassero più attenzione, soprattutto usando scarpe adeguate. Per evitare tendiniti o fasciti plantari, bisognerebbe evitare scarpe con un retropiede o una parte anteriore molto rigidi, i quali tendono a ridurre la capacità del piede di adattarsi al terreno.
Un movimento brusco o una caduta può produrre uno stiramento o la rottura dei legamenti, dei tendini o dei muscoli che sorreggono la caviglia: è il caso della distorsione, che spesso genera uno stravaso interno di sangue con gonfiore e indolenzimento. Se il dolore è forte, è meglio rivolgersi tempestivamente al medico per verificare che non vi sia un danno più serio, come una lussazione o una frattura.
I muscoli localizzati nella zona della caviglia sono soggetti ad uno sforzo intenso, il che li rende passibili di dolore. La caviglia può essere dolorante anche per altri motivi, come per artrite, reumatismi e gotta.
Le caviglie gonfie inoltre sono piuttosto frequenti nelle persone che sono costrette a stare in piedi parecchie ore al giorno, in quelle che soffrono di varici (la dilatazione irregolare delle vene, dovuta alla scarsa resistenza delle loro pareti), in chi ha disturbi circolatori o anche in chi è obeso, nelle donne incinte come sintomo di tossiemia gravidica.

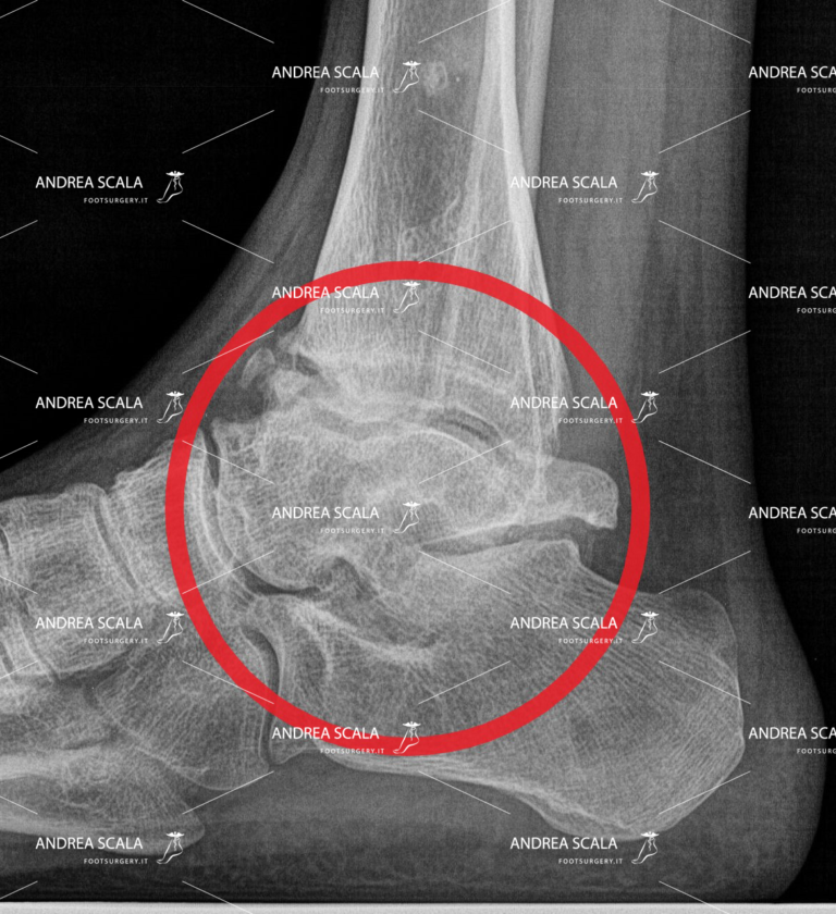
Ora che è ben chiaro quanto sia delicata l’articolazione della caviglia, si può facilmente intuire che può essere facilmente coinvolta da processi di artrosi degenerativi: le cartilagini che riveste i capi articolari si consumano, fino ad evidenziare l’osso sottostante e a causare danni alla capsula articolare, ai legamenti e ai muscoli circostanti. Le conseguenze più evidenti? Rigidità e dolore. Inoltre, col progredire della degenerazione articolare, il dolore non viene avvertito soltanto quando ci si muove o si sta in piedi, ma anche a riposo. Ciò significa che, se non sottoposta a cure adeguate, la patologia può degenerare in misura crescente, andando non solo ad inficiare la deambulazione ma producendo diverse limitazioni. Questo accade perché l’artrosi è una patologia cronica.

Come si diagnostica l’artrosi alla caviglia?
Con un’analisi attenta dei sintomi, alla quale va immediatamente accompagnata una radiografia che ha lo scopo di far emergere le evidenze più marcate legate all’artrosi, ovvero una rima articolare assottigliata, il rimodellamento dell’osso che si trova al di sotto della cartilagine articolare, la presenza di cisti ossee e piccoli speroni ossei.
Sarebbe un errore pensare che interessi soltanto persone anziane. La caviglia infatti è un’articolazione congruente, dove quindi la superficie articolare corrisponde perfettamente all’altra: questa caratteristica contribuisce alla sua alta stabilità. Se però, nel 70% dei casi a seguito di un trauma, la congruenza subisce un’alterazione, si va incontro all’artrosi, colpendo anche persone giovani. Anche una frattura delle ossa della caviglia possono favorirne l’insorgere, così come distorsioni o lussazioni continue, nonostante siano guarite bene. In 3 casi su 10 l’artrosi della caviglia è frutto di malattie sistemiche, come l’artrite reumatoide, o di alterazioni del piede (un esempio è costituito dal “piede piatto”).

Per tenere a bada l’artrosi, ma solo inizialmente, si adotta una terapia conservativa che ha come obiettivo il rallentamento dell’avanzare dell’artrosi. Nel trattamento di tipo conservativo si somministrano farmaci antinfiammatori e antidolorifici, e si possono effettuare infiltrazioni di acido ialuronico o di cortisone, oltre a ricorrere alla fisioterapia.
Fino a qualche tempo fa, si interveniva sui problemi legati all’articolazione della caviglia con l’artrodesi, un’operazione consistente nella fusione dell’articolazione in modo tale da impedirne in maniera definitiva il movimento e, conseguentemente, il dolore. L’eliminazione della componente legata alla sofferenza, così impattante dal punto di vista emotiva, non portava però ad una risoluzione netta. Anzi, dopo l’artrodesi erano frequenti problemi negli spostamenti ed il sovraccarico delle altre articolazioni, destinati ad un progressivo deterioramento.
Oggi, invece, quando la degenerazione articolare diventa invalidante, si rende necessario intervenire chirurgicamente con una protesi della caviglia. Per eliminare il dolore senza però compromettere la mobilità, la chirurgia è dunque la migliore soluzione. Prima però di un intervento chirurgico, l’ortopedico ha il dover di verificare la presenza di deviazione dello scheletro della tibia e dei malleoli. Dopo una frattura, ad esempio, tibia e malleoli si spostano, così come l’orientamento della caviglia viene alterato dall’artrosi degenerativa dopo anni di reumatismo. Dal momento che lo specialista dovrà realizzare un impianto perfettamente allineato all’asse della gamba e con superficie articolare parallela al suolo, prima di procedere alla scelta e all’impianto della protesi è fondamentale valutare accuratamente gli angoli delle deformità presenti. Le case farmaceutiche forniscono ad oggi sistemi di allineamento estremamente precisi, grazie ai quali si può intervenire durante l’operazione di protesi alla caviglia sui disassiamenti, correggendoli.
Quale protesi scegliere in caso di artrosi alla caviglia?
Il dott. Andrea Scala, tra i migliori chirurghi ortopedici a Roma, adotta la sua personale tecnica chirurgica, sostenendo l’importanza di non scegliere una sola marca o un unico modello, che risulterebbe impossibile da adattare a tutti i casi clinici. Ogni protesi presenta precise caratteristiche che la differenziano da tutte le altre. Il medico che avrà valutato la situazione del paziente e le sue esigenze, sarà in grado di optare per la protesi a lui più funzionale e pienamente rispettosa dell’individualità di ciascuno.
Dopo essere stato accuratamente selezionato, l’impianto viene applicato dal chirurgo, il quale si serve di strumenti di altissima precisione. Nello specifico, viene aperto un varco sulla caviglia al fine di rimuovere l’articolazione malata e sostituirla con la protesi scelta, il tutto effettuato con estremo rigore e attenzione, soprattutto considerata l’area molto piccola che dovrà ospitare l’impianto. Un intervento effettuato alla perfezione garantisce i risultati desiderati e una performance della protesi di diversi decenni.
Contatta Il Dott. Scala
Il Dott. Andrea Scala ha conseguito il suo diploma di Laurea in Medicina e Chirurgia presso la Università Cattolica del S. Cuore – Policlinico “A. Gemelli” di Roma con la discussione della tesi sperimentale, elaborata presso l’Istituto di Clinica Ortopedica diretta dal Prof. G.F. Fineschi, dal titolo: “Studio delle modificazioni cellulari indotte dai metalli di comune impiego in Chirurgia Ortopedica”, riportando il massimo dei voti. E’ specialista in Traumatologia e Ortopedia, specialista in Medicina dello Sport. Dal 1984 al 1988 è stato Assistente del Prof. Pisani nell’Ospedale di Alba (CN), il primo in Italia specializzato nella cura delle patologie della Caviglia e del Piede. Il Dott. Andrea Scala nel 1998 ha impiantato per primo la Protesi di Caviglia a Roma. Grazie ai numerosi anni di esperienza nel settore, alla formazione continua e alla pratica chirurgica effettuata in prestigiosi Centri Ospedalieri e Universitari italiani ed esteri, il Dott. Scala garantisce ai propri pazienti risultati eccellenti, ottenuti attraverso tecniche chirurgiche innovative, accurati studi sul singolo caso clinico e attuazione di terapie di ultima generazione per agevolare e accelerare la rigenerazione dei tessuti. I trattamenti per cui è specializzato sono:
Protesi caviglia
Piede paralitico
Malattia di Haglund
Alluce valgo
Legamenti della caviglia
Alluce rigido
Piede piatto
Neuroma di Morton
Il Dott. Scala è l’unico chirurgo ortopedico specialista italiano iscritto alla Società Francese di Chirurgia della caviglia e del piede. Svolge la propria attività professionale presso la Casa di Cura ARS MEDICA in Via Cesare Ferrero di Cambiano, 2900191 ROMA. Prenota una visita specialistica al numero +39 335 766 2164 o invia una mail all’indirizzo info@footsurgery.it.
VUOI SAPERNE DI PIÙ?
2 Comments
È un periodo che ho sempre le caviglie gonfie., e ho un problema alla caviglia sinistra ( slogatura mal curata)da quando avevo 16 anni, oggi ne ho 54.
Nel 2015 ho avuto una disperazione dell’altra di tipo B.
Mi sono imbattuto in questo post.
Gent. Sig.Salvatore, grazie per aver scritto. Abbiamo esperienza di questa patologia della caviglia. Le visite si fanno privatamente solo presso la clinica ARS MEDICA in Roma. Via Cesare Ferrero di Cambiano 29.Chiami il 3357662164 per un appuntamento e per una radiografia convenzionata (si faccia preparare dal suo medico l’impegnativa per: RXgrafia piede e caviglia dx e sin sotto carico). Saremo in grado di valutare di che cosa si tratta e che cosa si può fare. Cordiali saluti.
dott. Andrea Scala