La caviglia è un’articolazione estremamente complessa dal punto di vista anatomico. E’ uno snodo che è spesso sottoposto a grandi stress ed è perennemente sollecitata quando camminiamo o corriamo.
L’artrosi di caviglia è caratterizzata da una degenerazione della cartilagine articolare. Il degrado ha una progressione costante nel tempo e può portare ad una deformazione della articolazione (artrosi della caviglia deformante). Si tratta di una vera e propria patologia cronica, se non trattata può peggiorare drasticamente fino a creare degli ostacoli anche a livello di camminata. Questo genere di malattia degenerativa può avere un impatto molto negativo nella vita di tutti i giorni. La funzione più compromessa è la discesa dalle scale e dalle rampe.
L’artrosi alla caviglia può colpire principalmente dei pazienti giovani, l’età varia dai 30 ai 40 anni e può essere scatenata da due motivi principali:
• esiti di un trauma
• reumatismo articolare.
Negli esiti di un trauma vi può essere ad esempio:
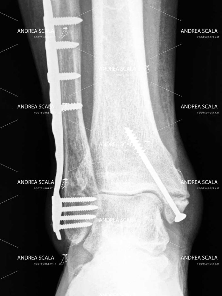
• Frattura di tibia e perone;
• Frattura malleolare (bi-malleolare o tri-malleolare);
• Frattura del pilone tibiale

• Gravi distorsioni ripetute della caviglia
Artrosi della caviglia: quali sono le cause
L’artrosi che colpisce la caviglia è dovuta per la maggior parte delle volte a traumi, infatti si tratta molto frequentemente di pazienti che hanno subito una frattura alla tibia, calcagno, perone o distorsioni. Tutti soggetti che possono ammalarsi con facilità di artrosi alla caviglia.
Quali sono le cause principali dell’artrosi della caviglia?
Vediamole insieme:
• Lesioni a livello di cartilagine della caviglia;
• Ereditarietà;
• Artrite reumatoide;
• Malattie infiammatorie;
• Obesità;
• Ginocchio varo o valgo;
• Assunzione di una postura scorretta;
• Piedi piatti.
Artrosi della caviglia: i sintomi
Quali sono i sintomi più comuni che possono essere un campanello d’allarme per riconoscere l’artrosi?
1) Dolore: si tratta del primo segnale in assoluto in grado di farti capire che qualcosa non funziona nel modo corretto. Questo deriva da un deterioramento delle cartilagini. Il dolore si presenta nel momento in cui ci troviamo a effettuare degli sforzi per un periodo di tempo prolungato e quando abbiamo terminato le nostre attività quotidiane.
2) Rigidità: anche questa è un sintomo che determina la presenza di artrosi, questa è causata dalla contrazione riflessa che avviene a livello muscolare e determina una graduale perdita di mobilità.
3) Tumefazione: il gonfiore è causato da infiammazione e versamento.
4) Deformità: un sovraccarico in determinati punti della caviglia che non fa altro che peggiorare sia a livello visivo sia in termini di dolore cronico.
Hai riscontrato alcuni dei sintomi sopra indicati? Il nostro consiglio è quello di rivolgerti al miglior ortopedico specialista del piede.
Questi sono sicuramente i sintomi più ricorrenti per quanto riguarda l’artrosi alla caviglia e si tratta di problematiche che possono peggiorare con il tempo se non curate. Nel momento in cui ci rendiamo conto che uno di questi sintomi ci colpisce è molto importante recarsi dal proprio ortopedico e medico di fiducia per una visita più approfondita.
L’artrosi è una malattia a carattere degenerativo che provoca una deformazione delle articolazioni, una perdita del tessuto cartilagineo e un cambiamento permanente nella struttura dell’articolazione. Non esistono
delle vere e proprie tecniche per evitare del tutto l’insorgenza di artrosi alla caviglia ma si può limitare il rischio. Tra i suggerimenti che possiamo darti:
• Evitare traumi, come ad esempio fratture;
• Evitare condizioni di sovrappeso, in questo modo si eviterà di costringere l’articolazione della caviglia a uno sforzo maggiore;
• Mantenere sempre una postura corretta.
Sicuramente, questi sono tra i consigli più utili che si possono dare in termini di artrosi della caviglia, proprio perché si tratta di una malattia degenerativa che, come abbiamo visto, può dipendere da molti fattori.
Artrosi della caviglia: come si cura?
L’artrosi, essendo una malattia degenerativa non può avere una remissione al 100%, in poche parole, è difficile che la caviglia torni ad una condizione di partenza. Nonostante questo, l’ortopedico può dare delle indicazioni molto valide al paziente e suggerirgli la terapia più idonea per rallentare il progredire della malattia.
Quali sono i metodi migliori per curare l’artrosi?
1) Le infiltrazioni di acido ialuronico,
2) Le infiltrazioni di cellule mesenchimali;
3) Intervenire chirurgicamente nei casi più gravi.
Con queste tecniche, è possibile alleviare i sintomi dell’artrosi e soprattutto rallentare la malattia nel tempo. Ovviamente, la scelta del trattamento varia in base allo stadio dell’artrosi, quindi è compito dell’ortopedico suggerire la cura migliore in base alle caratteristiche del paziente.
Artrosi della caviglia nei primi stadi
Durante le prime fasi della patologia è compito dell’ortopedico consigliare al paziente l’utilizzo di determinati tutori o plantari. Il tutore è estremamente utile per ridurre l’infiammazione e soprattutto il dolore, in questo modo sarà possibile ridurre il movimento del piede-caviglia. Anche i farmaci antinfiammatori giocano un ruolo molto importante nella cura dell’artrosi della caviglia, un modo per alleviare i dolori e l’infiammazione.
Artrosi della caviglia: l’intervento chirurgico
Nel momento in cui il paziente non riesce più a condurre una vita che possa essere definita normale si deve ricorrere all’intervento chirurgico.
L’Artrodesi della caviglia è l’intervento praticato dai medici 100 anni fa. Il blocco definitivo della caviglia toglie il dolore, ma comporta notevoli limitazioni funzionali. E’ un intervento molto invasivo e difficile. E’ difficile allineare le ossa della caviglia in buona posizione e le ossa non sempre consolidano.
La Protesi della caviglia è l’intervento che si esegue modernamente. L’intervento rimuove le parti consumate dall’artrosi. La tibia e l’astragalo vengono rivestite da componenti metalliche. Per separare le superfici metalliche viene inserito uno spaziatore in materiale sintetico (polietilene). Si ottiene un’articolazione artificiale ed è un’operazione analoga a quelle che viene effettuata sull’anca o sul ginocchio. Il grande vantaggio di questo intervento è la possibilità di mantenere il movimento dell’articolazione ma allo stesso tempo eliminare definitivamente il dolore. La durata dell’impianto si è allineata a quella della protesi d’anca e del ginocchio. I fattori importanti sono l’accuratezza dell’alineamento dell’impianto: la protesi deve replicare il funzionamento della caviglia normale. L’altro fattore importante per la durata della protesi è il mantenimento del meccanismo da parte del paziente: il paziente deve essere responsabile del corretto funzionamento dell’impianto protesico evitando stress e sollecitazioni anomale della caviglia, che consumano il meccanismo prima del previsto.
Sicuramente, rivolgendoti al miglior chirurgo ortopedico del piede in Italia potrai ottenere una visita completa e accurata. Un modo per ottenere un parere da un professionista e metterti nelle mani di esperti del settore.
Artrosi della caviglia: esercizio e alimentazione
Una delle tecniche più importanti per conservare la funzionalità della caviglia è svolgere attività motoria. Limitarsi nei movimenti a causa dell’indolenzimento delle articolazioni costringe i pazienti a limitarsi in quelle che sono le normali funzioni della caviglia. Questo atteggiamento è aggrava ulteriormente il problema, quindi è molto portante svolgere un’attività motoria in modo equilibrato e che sia benefica per la caviglia.
Anche l’alimentazione svolge un ruolo molto importante, infatti con una problematica come l’artrosi è utile introdurre nel nostro organismo vitamine, minerali, nutrienti e sbarazzarsi dei kg di troppo che non fanno altro che peggiorare la situazione di artrosi della caviglia. Come anticipato in precedenza, il peso corporeo influisce sulle condizioni dell’artrosi e può anche peggiorarla ulteriormente. Un consiglio molto valido è quello di eliminare tutti i prodotti alimentari come pasta, salumi, zucchero, dolci e aumentare invece verdure, frutta, carne magra, pesce e prodotti caseari. Importante è anche l’assunzione di alimenti che contengono collagene, tra questi troviamo la gelatina e la marmellata.
Prevenzione
La prevenzione è molto importante per tutti, non solo per i pazienti a rischio artrosi. Tra gli aspetti più importanti e fondamentali è molto utile evitare di:
- Accumulare il grasso in eccesso, quindi cercare di mantenere una corporatura sana ed esile. I kg di troppo aumentano il rischio delle malattie cardiovascolari e diabete. Inoltre, può compromettere la salute delle nostre articolazioni in modo permanente peggiorando la malattia.
- Essere eccessivamente sedentari, non aiuta la salute e soprattutto può peggiorare l’artrosi. È importante prendere la sana abitudine di camminare e praticare ginnastica.
Una serie di consigli che possono essere molto utili per rallentare il decorso dell’artrosi della caviglia, un modo per prevenire e alleviare i dolori.
Sei alla ricerca di un bravo ortopedico? Allora contatta il Dott. Scala, chirurgo ortopedico a Roma per ricevere il parere di un esperto.
Contatta Il Dott. Scala
Il Dott. Andrea Scala ha conseguito il suo diploma di Laurea in Medicina e Chirurgia presso la Università Cattolica del S. Cuore – Policlinico “A. Gemelli” di Roma con la discussione della tesi sperimentale, elaborata presso l’Istituto di Clinica Ortopedica diretta dal Prof. G.F. Fineschi, dal titolo: “Studio delle modificazioni cellulari indotte dai metalli di comune impiego in Chirurgia Ortopedica”, riportando il massimo dei voti. E’ specialista in Traumatologia e Ortopedia, specialista in Medicina dello Sport. Dal 1984 al 1988 è stato Assistente del Prof. Pisani nell’Ospedale di Alba (CN), il primo in Italia specializzato nella cura delle patologie della Caviglia e del Piede. Il Dott. Andrea Scala nel 1998 ha impiantato per primo la Protesi di Caviglia a Roma. Grazie ai numerosi anni di esperienza nel settore, alla formazione continua e alla pratica chirurgica effettuata in prestigiosi Centri Ospedalieri e Universitari italiani ed esteri, il Dott. Scala garantisce ai propri pazienti risultati eccellenti, ottenuti attraverso tecniche chirurgiche innovative, accurati studi sul singolo caso clinico e attuazione di terapie di ultima generazione per agevolare e accelerare la rigenerazione dei tessuti. I trattamenti per cui è specializzato sono:
Protesi caviglia
Piede paralitico
Malattia di Haglund
Alluce valgo
Legamenti della caviglia
Alluce rigido
Piede piatto
Neuroma di Morton
Il Dott. Scala è l’unico chirurgo ortopedico specialista italiano iscritto alla Società Francese di Chirurgia della caviglia e del piede. Svolge la propria attività professionale presso la Casa di Cura ARS MEDICA in Via Cesare Ferrero di Cambiano, 2900191 ROMA. Prenota una visita specialistica al numero +39 335 766 2164 o invia una mail all’indirizzo info@footsurgery.it.