Chi soffre di alluce valgo sa che questa è una patologia del piede molto diffusa, spesso parecchio dolorosa e che colpisce prevalentemente le donne. Le scarpe strette e con i tacchi, infatti, costringono i piedi del popolo femminile a posizioni non idonee e possono acutizzare anche un problema esistente.
Quando chi ha questa patologia, però, non riesce più ad uscire di casa senza provare dolore e quando la malformazione delle dita e tutti i movimenti quotidiani risentono di questo problema, meglio valutare l’ipotesi dell’operazione che deve sempre essere consigliata da un medico specialista della chirurgia del piede.
L’intervento vi permetterà di ritornare quanto prima alla quotidianità. L’importante è rivolgersi ai migliori medici specializzati nella cura dell’alluce valgo; specialisti seri e competenti. Il dottor Scala ha inventato una tecnica che utilizza da anni che è stata pubblicata su importanti riviste scientifiche americane.(Il trattamento dell’alluce valgo, e il trattamento dell’alluce valgo recidivo)

Potete approfondite la conoscenza della tecnica del Dott. Andrea Scala per il trattamento dell’alluce valgo recidivo consultando i due articoli su questo tema pubblicati dalla rivista americana Foot & Ankle Specialist:
Alluce valgo: di cosa si tratta
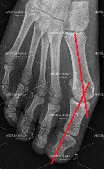
L’alluce valgo consiste in una deviazione del primo metatarso del piede verso l’interno, una situazione che crea un’angolazione anomala dell’alluce e crea una protuberanza “a cipolla” che è causa di forti disagi nella vita quotidiana delle persone che ne soffrono.

L’alluce valgo, infatti, va a premere contro il secondo dito del piede che, nei casi più gravi, tenderà ad accavallarsi col tempo verso le altre dita, deviandole ed assumendo l’aspetto del cosiddetto “dito a martello”. Una situazione che, se non curata e nei casi più gravi, tenderà anche a portare fuori asse l’intero avampiede. Si tratta, quindi, di una vera e propria deformazione del piede che comporta una condizione estremamente dolorosa per i pazienti che ne sono affetti e che va tenuta sotto controllo.
Solitamente, nei primi stadi, la patologia si presenta con frequenti arrossamenti e la formazione di un rigonfiamento vicino all’attaccatura dell’alluce che altro non è che un’infiammazione della borsa sinoviale. Se questo campanello d’allarme viene sottovalutato per lungo tempo, però, la patologia si trasforma e il rigonfiamento che prima provocava solo un leggero fastidio può poi sporgere in maniera evidente, con un forte dolore che può arrivare persino alla gamba. Nei casi ancora più gravi, inoltre, si può assistere ad alterazioni funzionali delle articolazioni del piede con importanti conseguenze anche sul ginocchio e sull’anca.
Non solo, chi soffre di alluce valgo può fare i conti con edemi, formicolii, un senso di pesantezza del piede e della gamba, problemi posturali e difficoltà ad indossare scarpe chiuse. Ecco, quindi, che intervenire il prima possibile rivolgendosi ad un chirurgo specialista competente può evitare problematiche serie ed importanti e risolvere il problema in modo definitivo, tempestivo e poco invasivo.
Alluce valgo, cause e rimedi
Come abbiamo anticipato a soffrire maggiormente di questa patologia sono le donne, con circa il 40% dei casi. Le cause dell’alluce valgo sono diverse e possono considerare non solo l’ereditarietà.
Anche l’essere sovrappeso può incidere sulla malattia, visto che chi deve spostare una massa eccessiva tende a scaricare il peso sui metatarsi. Stesso discorso vale per le malattie articolari perché nel caso in cui insorgano malattie articolari croniche, come l’artrite reumatoide, l’alluce può deviare verso le altre dita. Anche lesioni ai legamenti del piede o altre patologie che condizionano la postura possono indurre l’alluce a deviare.
Tra le cause esterne, poi, se si possono definire così, possiamo trovare le calzature. Portare tacchi alti o scarpe strette spesso e per periodi prolungati, soprattutto nella zona anteriore, accentua il rischio d’alluce valgo. Ecco perché chi soffre di questa patologia deve scegliere, preventivamente, le calzature più adatte.
Tutte queste situazioni possono, dunque, portare alla patologia o aggravare una situazione pregressa. Nei casi più lievi solitamente si agisce con l’assunzione di antinfiammatori, evitando di indossare certe tipologie di calzature, utilizzando apposite solette oppure con una terapia a base di pomata cortisonica o all’arnica.
Tutte soluzioni che sono comunque provvisorie, che non promettono di eliminare il dolore e non escludono l’aggravarsi della patologia.
Operazione all’alluce valgo, a chi rivolgersi
Se il dolore impedisce i normali movimenti quotidiani, se le terapie non fanno più effetto, la situazione si aggrava e se la deambulazione è seriamente compromessa allora sarà necessario ricorrere all’operazione chirurgica.
Si tratta di una tecnica efficace e risolutiva che non deve far paura. L’intervento, infatti, non è invasivo e non ha bisogno di un periodo di lunga degenza. Anzi. Il dottor Scala, a differenza di molti altri medici, opera con tecniche innovative e non invasive che permettono di allineare l’alluce, eliminare la sporgenza del 1° metatarso, e fattore più importante evitare la recidiva.
Il post operatorio prevede periodo di riposo con il piede sollevato, per evitare gonfiori e una serie di esercizi per ripristinare il normale movimento dell’alluce operato. Con la tecnica del dottor Andrea Scala anche gli sportivi possono riprendere i propri allenamenti tornando in poco tempo (ovviamente sempre in base al proprio stato di salute) anche all’attività agonistica.

Diventa dunque fondamentale chiedere sempre una consulenza ai migliori esperti ortopedici del piede perché, grazie alla loro competenza e professionalità sul campo, sono in grado meglio di altri di consigliare la soluzione più appropriata per il benessere del paziente.
Contatta Il Dott. Scala
Il Dott. Andrea Scala ha conseguito il suo diploma di Laurea in Medicina e Chirurgia presso la Università Cattolica del S. Cuore – Policlinico “A. Gemelli” di Roma con la discussione della tesi sperimentale, elaborata presso l’Istituto di Clinica Ortopedica diretta dal Prof. G.F. Fineschi, dal titolo: “Studio delle modificazioni cellulari indotte dai metalli di comune impiego in Chirurgia Ortopedica”, riportando il massimo dei voti. E’ specialista in Traumatologia e Ortopedia, specialista in Medicina dello Sport. Dal 1984 al 1988 è stato Assistente del Prof. Pisani nell’Ospedale di Alba (CN), il primo in Italia specializzato nella cura delle patologie della Caviglia e del Piede. Il Dott. Andrea Scala nel 1998 ha impiantato per primo la Protesi di Caviglia a Roma. Grazie ai numerosi anni di esperienza nel settore, alla formazione continua e alla pratica chirurgica effettuata in prestigiosi Centri Ospedalieri e Universitari italiani ed esteri, il Dott. Scala garantisce ai propri pazienti risultati eccellenti, ottenuti attraverso tecniche chirurgiche innovative, accurati studi sul singolo caso clinico e attuazione di terapie di ultima generazione per agevolare e accelerare la rigenerazione dei tessuti. I trattamenti per cui è specializzato sono:
Protesi caviglia
Piede paralitico
Malattia di Haglund
Alluce valgo
Legamenti della caviglia
Alluce rigido
Piede piatto
Neuroma di Morton
Il Dott. Scala è l’unico chirurgo ortopedico specialista italiano iscritto alla Società Francese di Chirurgia della caviglia e del piede. Svolge la propria attività professionale presso la Casa di Cura ARS MEDICA in Via Cesare Ferrero di Cambiano, 2900191 ROMA. Prenota una visita specialistica al numero +39 335 766 2164 o invia una mail all’indirizzo info@footsurgery.it.