Il piede piatto e il piede valgo pronato nell’adolescente e nel giovane adulto sono condizioni cliniche piuttosto frequenti. Quando la correzione con il plantare è inefficace, quando il piede fa male e il giovane si stanca facilmente, occorre pianificare interventi chirurgici mirati. La correzione chirurgica serve a prevenire i gravi danni ai tendini e alle articolazioni.

La foto mostra che il piede operato in età giovanile torna alla normalità. Infatti l’impronta del piede operato è normale, mentre l’impronta del piede pronato valgo è patologica. Il piede pronato valgo giovanile viene corretto senza toccare le articolazioni.
E’ IMPORTANTE OPERARE DA GIOVANI PER LA PREVENZIONE DELLA ARTROSI
Mai come in questo caso è vero il principio della Medicina per cui “è meglio prevenire che curare”!
I giovani pazienti e le loro famiglie vanno avvertite che i giovani pazienti vanno operati perché solo l’operazione corregge la deformità e rimette la caviglia ed il piede in asse. Osservando soggetti giovani e delicati apparentemente privi di problemi è veramente difficile consigliare l’intervento chirurgico. Ma deve prevalere il senso di responsabilità e la prevenzione di gravi danni nel futuro dei pazienti.
L’intervento eseguito precocemente previene la degenerazione articolare e l’artrosi. E’ questo lo stesso principio per cui gli adolescenti portano il “bite” dentario per tanti mesi: per prevenire i problemi odontoiatrici nell’età adulta.
Un errore comune commesso da alcuni specialisti è quello di sottovalutare i problemi relativi al piede pronato valgo.
Occorre avvertire per tempo le famiglie dei giovani pazienti che prendere in considerazione l’intervento correttivo è importante ai fini della prevenzione della degenerazione articolare e della artrosi.
La scarsità di sintomi nella età giovanile non deve ingannare perché è dovuta alla iniziale integrità della cartilagine articolare. Ma occorre ricordare che quando la cartilagine si consuma il dolore diviene grave. Quando la deformità diviene cronica ed incorreggibile l’intervento diviene sempre più difficile.
Nei pazienti anziani in cui non è stata fatta la correzione del piede pronato grave si verifica la artrosi del piede. Quando la cartilagine sarà consumata e inizierà il dolore sarà troppo tardi per eseguire una chirurgia correttiva. Si dovrà asportare la cartilagine malata e danneggiata dalla artrosi. Si dovranno bloccare le articolazioni.

La deformità piede pronato valgo non curata in tempo diventa una deformità grave e difficile da curare nell’anziano.

L’articolazione tra astragalo e calcagno in un piede pronato valgo è deviata, ha lavorato male e si è consumata. E’ presente la degenerazione della cartilagine articolare, le ossa si toccano, c’è l’artrosi e c’è molto dolore. Sarebbe stato meglio operare prima.

La foto mostra la visione anteriore di un paziente che è stato operato in età adulta. Si vede il confronto tra il piede pronato grave e il piede operato. E’ stato corretto anche l’alluce valgo.

La foto mostra la visione posteriore dello stesso paziente in età adulta con piede pronato grave a confronto con il piede operato. Si nota che il calcagno del piede pronato grave è deviato in valgo. Il calcagno del piede operato è in asse.

La foto mostra la visione della impronta plantare dello stesso paziente in età adulta con piede pronato grave a confronto con il piede operato.

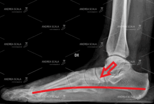
La RXgrafia pre-operatoria del paziente di settanta anni. Si vede il crollo dell’arco del piede. L’astragalo sprofonda verso il suolo perché i legamenti mediali sono sempre stati lassi. Il piede è sato trascurato è sempre stato pronato e instabile. Il dolore è molto forte e il paziento non può più deambulare.

La RXgrafia post-operatoria mostra che l’arco del piede è stato ricostruito. L’articolazione ammalata ha dovuto essere asportata perché causava un grande dolore. Per rifare l’arco sono state necessarie due viti metalliche che tengono insieme il montaggio.
Il piatto e il piede valgo pronato sono condizioni cliniche di comune riscontro nell’adolescente e nel giovane adulto.
Il piede piatto è meno frequente e ha caratteristiche diverse dalla pronazione. E’ vero che nel piede piatto l’interno del piede appoggia al suolo, ma il piede è ben conformato ed è molto stabile. Raramente il piede piatto presenta il dolore dovuto alla infiammazione dei tendini e delle articolazioni. Nel caso di piede piatto l’ortopedico prescrive un plantare per fornire il comfort durante la deambulazione e nella pratica sportiva, ma e nella maggior parte dei casi non occorre intervenire.
Nel caso di piede valgo pronato la parte interna del piede non tocca il suolo.
Il piede valgo pronato presenta la tendenza al cedimento dell’arco mediale, la sporgenza verso l’interno delle ossa e il calcagno deviato in valgismo. Addirittura si trova una relativa accentuazione dell’arco del piede. La definizione data dal professor Giacomo Pisani era: cavo valgo pronato. Quando il dott. Andrea Scala era assistente ospedaliero del professor Giacomo Pisani nei casi in cui si riscontrava lo spostamento mediale dell’astragalo, pur senza il contatto con il suolo la diagnosi di questi casi era: cavo valgo pronato.
Il piede valgo pronato è caratterizzato dalla mancanza di stabilità e dalla lassità dei legamenti mediali del piede.
La mancanza congenita dei robusti legamenti interni comporta la instabilità dell’arco interno del piede. Allora accade che il tendine del Tibiale Posteriore entra in azione per fare un lavoro che non gli compete: sollevare l’arco del piede. Dopo migliaia di passi per camminare e per fare lo sport, il tendine si infiamma diviene doloroso. Negli adulti il tendine degenera e si rompe: diviene “insufficiente”
La patologia del tendine del Tibiale posteriore.
Si producono tendiniti ed infiammazione dell’interno del piede che sono molto dolorose e che portano alla visita ortopedica. Molto spesso gli adolescenti sono asintomatici e la preoccupazione principale dei genitori è la forma del piede o le preoccupazioni per una futura disabilità.
Tutti gli adolescenti che mostrano il cedimento dell’arco mediale vengono correttamente trattati con il plantare che sostiene la volta mediale del piede. Non viene compreso il rischio della abnorme sollecitazione del tendine Tibiale Posteriore.
Il trattamento per correggere la deformità del piede pronato valgo può essere non chirurgico o chirurgico. La sfida più importante per l’ortopedico è distinguere una condizione che può avere una storia naturale benigna da quelle che possono causare disabilità se non trattate. La terapia con ortesi plantare non può arrivare a correggere la deformità del piede piatto e nemmeno il piede pronato valgo. Il plantare serve solo a non fare aggravare ulteriormente il cedimento dell’arco del piede.
Ciò che deve capire l’ortopedico è la natura e la causa del cedimento plantare: il sintomo più grave è l’instabilità.
La causa è tipicamente organica e individuale. La mancanza congenita dei robusti legamenti interni comporta la instabilità dell’arco interno del piede. Nella maggioranza dei casi c’è una predisposizione familiare. Molo spesso qualcuno nella famiglia presenta un quadro di piede valgo pronato.
Questa condizione clinica può essere associata a malattie neuromuscolari, sinostosi tarsali e all’osso scafoide accessorio. In effetti, l’eziologia cioè la causa del piede pronato è diversa da caso a caso. E di conseguenza la gestione della deformità può presentare diverse alternative.
DEFINIZIONE DEL QUADRO CLINICO PIEDE PRONATO VALGO
Gli adolescenti e i giovani adulti presentano sintomi in maniera molto variabile e non univoca. Il sintomo a cui prestare maggiormente attenzione è il dolore. Per quanto cruciale sia avere una buona storia, può essere difficile ottenere informazioni da giovani pazienti. Gli adolescenti e i giovani adulti possono minimizzare i loro sintomi. La raccolta della storia clinica dovrebbe includere dolore, posizione e intensità del dolore quando avviene. Occorre individuare i problemi funzionali e capire quali sono i fattori che permettono di alleviare il dolore oppure aggravarlo. Anche una storia di trauma o distorsioni ricorrenti della caviglia dovrebbe essere specificamente messa in discussione In queste circostanze il ruolo dei genitori è molto importante.
ESAME OBIETTIVO PIEDE PRONATO VALGO
I pazienti devono essere esaminati sia seduti che in piedi. Si deve esaminare la deambulazione. La deformità del piede piatto può essere una deformità dinamica che richiede che il difetto dell’appoggio venga evidenziato durante l’esame clinico. Il paziente deve essere osservato camminare a piedi nudi per valutare l’instabilità e l’asimmetria dell’andatura. È anche importante guardare le scarpe del giovane paziente per identificare l’usura asimmetrica delle suole. Quando il paziente è sottocarico, lo specialista deve valutare la presenza (o l’assenza) dell’arco longitudinale mediale, la prominenza dello scafoide, l’abduzione del mesopiede e l’allineamento del tallone. Gli adolescenti e i giovani adulti si presentano con un retropiede valgo e con la abduzione dell’avampiede comporta che le dita si rendono visibili lateralmente manifestando il segno “too many toes” cioè “troppe dita”.
Il sollevamento del tallone e la manipolazione del calcagno possono confermare la flessibilità o la rigidità della deformità. Un piede piatto flessibile è quello il cui tallone valgo può essere corretto in varo neutro o leggero. La supinazione dell’avampiede divenuta fissa e rigida dovrebbe anche essere valutata con la riduzione manuale della deformità del retropiede. Questo dato deve essere affrontato nella pianificazione chirurgica.
Nella classe di età infantile quando l’ortopedico si accorge che con l’uso del plantare non vi è una stabilizzazione della deformità, il piede pronato tende a peggiorare, in accordo con la famiglia decide di fare l’intervento correttivo con INTERVENTO DI ENDORTESI. C’è una finestra temporale tra i 10 e i 13 anni nella quale eseguire l’intervento di endortesi. La presenza nelle RXgrafie della apertura delle cartilagini di accrescimento è il dato più importante da sorvegliare. L’intervento va effettuato in età precoce, quando le cartilagini di accrescimento sono ancora aperte. L’intervento viene preso in considerazione solo quando il bambino partecipa consapevolmente all’intervento e alla successiva fase di riabilitazione.
In rari casi più gravi occorre associare alla endortesi la ricostruzione dei legamenti mediale del versante mediale del piede.
PIEDE PRONATO VALGO IN ADOLESCENTI E ADULTI GIOVANI
Nella classe di età degli adolescenti e dei giovani adulti la famiglia si rivolge alla visita specialistica oltre il termine della finestra temporale dei 13 anni l’intervento di endortesi non si può più eseguire. Il bambino si avvia ad essere adolescente. La RXgrafia degli arti fa vedere che le cartilagini di accrescimento sono chiuse. L’adolescente può essere considerato come un giovane adulto. Nel tempo i piedi flessibili nei pazienti pediatrici diventeranno più rigidi. Ciò può verificarsi nella prima adolescenza o nella giovane età adulta. Nel retropiede avvengono inevitabilmente cambiamenti adattativi che alterano il suo rapporto con l’avampiede. Per mantenere il piede plantigrado, mentre il retropiede si espande e il calcagno si sposta in valgo, l’avampiede deve supinare. Il tendine di Achille si muove lateralmente con il calcagno e l’asse di forza sull’articolazione subtalare cambia, aumentando la probabilità di una contrattura del gastrocnemio-soleo. Man mano che si verificano questi cambiamenti strutturali, la rigidità aumenta, rendendo di conseguenza il trattamento più impegnativo.
Devono essere sempre identificate le contratture di Achille e gastrocnemio. Quando il retropiede si deforma in valgo, il tricipite surale va in contrattura. Il tendine di Achille viene deviato lateralmente e accorciato, e in questa situazione aggrava la deformità.
Nell’età adolescenziale e adulta giovane il piede si deve correggere senza toccare le articolazioni, ma si devono spostare le ossa del piede in modo da permettere un piede meglio conformato allo scopo di avere un migliore appoggio. L’operazione deve avere 2 obbiettivi:
– correggere la deviazione in valgo del calcagno con l’osteotomia calcaneale
– correggere il cedimento dell’arco mediale con ricostruzione capsulo-legamentosa
OSTEOTOMIA CALCANEALE NEL PIEDE PRONATO VALGO
La osteotomia del calcagno è la sezione dell’osso. Dopo aver tagliato l’osso il chirurgo lo sposta verso l’interno del piede in modo da correggere il valgismo del calcagno. Il Prof. Pisani ha descritto negli anni 80 una osteotomia del calcagno che si aggiunge alla traslazione mediale. Il dott. Andrea Scala, assistente ospedaliero del Prof. Pisani ha pubblicato questa osteotomia.
La osteotomia del calcagno richiede almeno 10-12 mm di traslazione. Una leggera traslazione plantare della tuberosità posteriore è spesso desiderabile per aumentare l’angolo di inclinazione calcaneare. Una volta completato lo spostamento, la scelta della fissazione dipende dalla maturità scheletrica. Se la cartilagine di accrescimento è chiusa o raggiunge la maturità scheletrica, la struttura può essere stabilizzata con una vite cannulata da 6,5 mm. Se è ancora presente un residuo della cartilagine di accrescimento, l’osteotomia può essere stabilizzata con uno o due fili metallici impiantati temporaneamente e poi rimossi.

Lo schema illustra la osteotomia di calcagno negli adolescenti. Il piede pronato valgo giovanile viene corretto senza toccare le articolazioni.
RICOSTRUZIONE CAPSULO-LEGAMENTOSA MEDIALE NEL PIEDE PRONATO VALGO
Una volta corretto il retropiede, l’attenzione viene rivolta alla parte interna del piede.
Negli adolescenti e nei giovani adulti, il tendine tibiale posteriore si trova coinvolto nella deformità dello “scafoide accessorio” che disturba la inserzione del tendine del Tibiale Posteriore. Molto spesso è questa una causa del dolore del piede. Il Prof. Pisani ha descritto in maniera molto originale questa parte del piede come “la coxa pedis”. Il Prof. Pisani ha disegnato una analogia tra la epifisi distale dell’astragalo, che si sposta dalla articolazione con lo scafoide tarsale con lo spostamento della testa del femore fuori dalla cavità acebolare dell’anca.
Per quanto riguarda i tendini Peronieri, raramente si interviene su di essi nella classe di età della adolescenza o dei giovani adulti. Solo i casi gravi di deformità del piede piatto con significativa abduzione del mesopiede e dell’avampiede potrebbero richiedere un intervento a questo livello.
CONCLUSIONI
Si dovrebbe avere una maggiore attenzione clinica ed una maggiore sensibilità nel far operare precocemente il piede pronato valgo. Operare vuole dire prevenire. Nella età giovanile è un intervento piuttosto agevole, che conserva le articolazioni e che dà buoni risultati. Nelle persone anziane è un intervento pesante che demolisce le articolazioni.
Contatta Il Dott. Andrea Scala
Il Dott. Andrea Scala ha conseguito il suo diploma di Laurea in Medicina e Chirurgia presso la Università Cattolica del S. Cuore – Policlinico “A. Gemelli” di Roma con la discussione della tesi sperimentale, elaborata presso l’Istituto di Clinica Ortopedica diretta dal Prof. G.F. Fineschi, dal titolo: “Studio delle modificazioni cellulari indotte dai metalli di comune impiego in Chirurgia Ortopedica”, riportando il massimo dei voti. E’ specialista in Traumatologia e Ortopedia, specialista in Medicina dello Sport. Dal 1984 al 1988 è stato Assistente del Prof. Pisani nell’Ospedale di Alba (CN), il primo in Italia specializzato nella cura delle patologie della Caviglia e del Piede. Il Dott. Andrea Scala nel 1998 ha impiantato per primo la Protesi di Caviglia a Roma. Grazie ai numerosi anni di esperienza nel settore, alla formazione continua e alla pratica chirurgica effettuata in prestigiosi Centri Ospedalieri e Universitari italiani ed esteri, il Dott. Andrea Scala garantisce ai propri pazienti risultati eccellenti, ottenuti attraverso tecniche chirurgiche innovative, accurati studi sul singolo caso clinico e attuazione di terapie di ultima generazione per agevolare e accelerare la rigenerazione dei tessuti. I trattamenti per cui è specializzato sono:
Protesi caviglia
Piede paralitico
Malattia di Haglund
Alluce valgo
Legamenti della caviglia
Alluce rigido
Piede piatto
Neuroma di Morton
Il Dott. Andrea Scala è l’unico chirurgo ortopedico specialista italiano iscritto alla Società Francese di Chirurgia della caviglia e del piede. Svolge la propria attività professionale presso la Casa di Cura ARS MEDICA in Via Cesare Ferrero di Cambiano, 2900191 ROMA. Prenota una visita specialistica al numero +39 335 766 2164 o invia una mail all’indirizzo info@footsurgery.it.